Опис
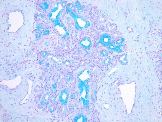
Комплект постачає реагенти для виявлення кислотних муцинів та мукосубстанцій. Висока концентрація кислотних мукосубстанцій спостерігається при мезотеліомі. Висока концентрація мукосубстанцій зазвичай виявляється в стінках кровоносних судин, але збільшується при ранніх ураженнях атеросклерозу.
